
来源:四川军大医学研究所附属医院 电话:028-86270996 点击免费在线咨询皮肤医师
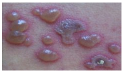
带状疱疹是由水痘带状疱疹病毒引起的一种常见的皮肤病,多见于成人,好发于躯干和面部,还可侵犯头、颈、面、眼、耳、四肢及会阴部。其特点是水疱密集成簇和难以忍受的针刺样疼痛。

以下人群最容易受到水痘带状疱疹病毒的侵害:
1.全身抵抗力下降的人,如老年人、久病体虚者及过度劳累者。
2.慢性传染病,如上呼吸道感染的患者。
3.恶性肿瘤,如白血病、淋巴瘤、癌症患者。
4.免疫力低下,如糖尿病、结核病、系统性红斑狼疮等疾病患者及做过器官移植的人。
5.外伤、烧伤、放射治疗、中毒患者及某些受过精神创伤的人。
6.长期服用类固醇皮质激素或使用某些药物,如砷剂、锑剂、免疫抑制剂者。
7.艾滋病患者。
预防带状疱疹应增强体质,提高自身的抗病能力,使病毒无机可乘。如若得了带状疱疹应尽早就医。
中西医生物排毒疗法,快速不复发
四川军大医学研究所附属医院,深入研究带状疱疹的发病机理,总结传统中医治疗经验的基础上,完美融合多项国际治疗技术和理念,引进国际先进的高频超声检查仪、红光光动治疗仪,采用传统组方的基础上,应用创新的治疗手段,针对不同患者制定个性化临床治疗方案,缩短治疗时间,不留任何后遗症。
四川军大医学研究所附属医院:规范诊疗,费用公开公示,医师一对一亲诊
四川军大医学研究所附属医院是成都综合实力较强的医院之一。我院对皮肤病的检查、诊断、治疗、复查等环节,严格按照规范诊疗的标准执行。所有费用项目严格依国家制定的标准收取。所有费用项目全部受到国家物价部门的审核和监督,对一切费用做到公开、公示。另外,我院实行网上预约免挂号费的优惠措施,网上挂号来院就诊不需要排队等候。
特别提醒:为保证疗效,医院规定所有来院皮肤病患者均由医师一对一亲诊,与患者充足沟通,详细了解病史,问诊不仓促。接诊、检查、治疗、用药、收费等所有就医流程均严格按照国家标准执行!患者可放心就诊。
温馨提示:四川军大医学研究所附属医院皮肤专科,为广大带状疱疹朋友提供专业的,医师型咨询服务,您有什么关于带状疱疹方面的疾病知识要咨询的,随时拨打我院医师咨询热线:028-86270996或咨询我院医师QQ:770770028,就能与在线带状疱疹医师零距离交流!方便、快捷、私密、低成本就医瞬间实现。
上一篇:患上带状疱疹后会有哪些后遗症
下一篇:带状疱疹是怎么引起的?

地址:成都市青羊区玉沙路142号(太升
南路与玉沙路交叉口)
电话:028-86270996