
À´Ô´£ºËÄ´¨¾ü´óҽѧÑо¿Ëù¸½ÊôÒ½Ôº µç»°£º028-86270996 µã»÷Ãâ·ÑÔÚÏß×ÉѯƤ·ôҽʦ
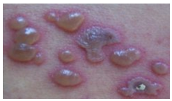
ËÄ´¨¾ü´óҽѧÑо¿Ëù¸½ÊôҽԺҽʦ˵£¬´ø×´ðåÕîÊdz£¼ûµÄÒ»ÖÖÆ¤·ô²¡¡£´ø×´ðåÕî¼È¸ø»¼Õß´øÀ´Öî¶àµÄ²»±ã£¬ÓÖÑÏÖØÓ°ÏìÁ˲¡È˵ÄÕý³£Éú»î¡£»¹»á¸ø»¼Õß´øÀ´Ò»Ð©ºóÒÅÖ¢¡£ÕâÊǺܶ໼Õß¶¼²»Çå³þµÄ¡£ÄÇô£¬ÏÂÃæ¾ÍÇëËÄ´¨¾ü´óҽѧÑо¿Ëù¸½ÊôҽԺҽʦΪ´ó¼ÒÏêϸµÄ½éÉÜÏ»¼ÉÏ´ø×´ðåÕîºó»áÓÐÄÄЩºóÒÅÖ¢¡£

ËÄ´¨¾ü´óҽѧÑо¿Ëù¸½ÊôҽԺҽʦ˵»¼ÉÏ´ø×´ðåÕîºó»áÓÐÒÔϼ¸µãºóÒÅÖ¢£º
1¡¢·¢ÉúÔÚÃæ²¿Èý²æÉñ¾½Ú¶ÎµÄ´ø×´ðåÕî»áÁôϵĺóÒÅÖ¢
Ãæ²¿Èý²æÉñ¾½Ú¶Î²¿Î»µÄÉñ¾ÏËάÈç¹ûÊܵ½ðåÕ¶¾¸ÐȾ£¬¿É·¢Éú½ÇĤÑס¢½ÇĤÀ£Ññ¡¢½áĤÑ×£¬»¼Õ߿ɷ¢ÉúŹ⡢Á÷Àá¡¢ÑÛ¾¦ÌÛÍ´£¬ÒÔÖÂÊÓÁ¦¼õÍË£¬ÖØÕß·¢ÉúÈ«ÑÛÇòÑ×¶øµ¼ÖÂʧÃ÷¡£
2¡¢ðåÕ¶¾ÇÖ·¸ÄÚÔàÉñ¾ÏËά»áÁôϵĺóÒÅÖ¢
ðåÕ¶¾Óɼ¹Ëè´¦µÄÉñ¾¸ùÏòÌåÄÚÇÖ·¸ÄÚÔàÉñ¾ÏËάʱ£¬¿ÉÄÜ»áÁôϼ±ÐÔ賦Ñס¢°òë×Ñס¢Ç°ÁÐÏÙÑ׵ĺóÒÅÖ¢¡£
3¡¢ðåÕ¶¾ÇÖ·¸ÖÐÊàÉñ¾ÏµÍ³»áÁôϵĺóÒÅÖ¢
µ±ðåÕ¶¾Óɼ¹Ëè´¦µÄÉñ¾¸ùÏòÉÏÇÖ·¸ÖÐÊàÉñ¾ÏµÍ³£¬¿ÉÄÜ»á²úÉú²¡¶¾ÐÔÄÔÑ׺ÍÄÔĤÑ׵ȺóÒÅÖ¢£¬¾ßÌå±íÏÖΪÑÏÖØµÄÍ·Í´¡¢Å»Í¡¢¾ªØÊ¡¢ËÄÖ«³é´¤¡£>>>>»¼ÁË´ø×´ðåÕîÔõô£¿µã»÷×Éѯҽʦ»ñÈ¡ÕïÁÆ·½°¸
4¡¢·¢ÉúÔÚ¶úÀª¡¢¶úµÀµÄ´ø×´ðåÕî»áÁôϵĺóÒÅÖ¢
·¢ÉúÔÚ¶úÀª¡¢¶úµÀµÄ´ø×´ðåÕ»á³öÏÖÄÚ¶ú¹¦ÄÜÕϰ֢״£¬»¼Õß±íÏÖΪͷÔÎĿѣ¡¢¶ñÐÄ¡¢Å»Í¡¢ÌýÁ¦Õϰ¡¢ÑÛÇòÕð²üµÈ¡£
5¡¢·¢ÉúÓÚÌØÊⲿλµÄ´ø×´ðåÕî»áÁôϵĺóÒÅÖ¢
·¢ÉúÓÚÌØÊⲿλµÄ´ø×´ðåÕÈçÑÛ²¿£¬¿ÉÄÜ»áÁôÏÂÈ«ÑÛÇòÑ×£¬ÉõÖÁÄÔĤÑ׵ĺóÒÅÖ¢£»²¡ºó³öÏÖÊÓÁ¦Ï½µ¡¢Ê§Ã÷¡¢ÃæÌ±µÈºóÒÅÖ¢¡£
»¼ÉÏ´ø×´ðåÕîºó»áÓÐÄÄЩºóÒÅÖ¢£¿ÒÔÉÏÊÇËÄ´¨¾ü´óҽѧÑо¿Ëù¸½ÊôҽԺҽʦÕë¶ÔÕâ¸öÎÊÌâµÄÏêϸ½éÉÜ¡£Í¨¹ýÉÏÊöҽʦµÄ½éÉÜ£¬ÎÒÃÇ¿ÉÒÔÖªµÀ£¬´ø×´ðåÕîµÄºóÒÅÖ¢ÊǷdz£¶àµÄ£¬Òò´Ë£¬»¼ÕßÒª»ý¼«ÖÎÁÆ¡£ÖÎÁÆÒªÑ¡ÔñÕý¹æ×¨ÒµµÄÒ½Ôº£¬ÒÔÃâÖÎÁƲ»µ±µ¼ÖºóÒÅÖ¢µÄ·¢Éú¡£
ÖÐÎ÷Ò½ÉúÎïÅŶ¾ÁÆ·¨£¬¿ìËÙ²»¸´·¢
ËÄ´¨¾ü´óҽѧÑо¿Ëù¸½ÊôÒ½Ôº£¬ÉîÈëÑо¿´ø×´ðåÕîµÄ·¢²¡»úÀí£¬×ܽᴫͳÖÐÒ½ÖÎÁƾÑéµÄ»ù´¡ÉÏ£¬ÍêÃÀÈں϶àÏî¹ú¼ÊÖÎÁƼ¼ÊõºÍÀíÄÒý½ø¹ú¼ÊÏȽøµÄ¸ßƵ³¬Éù¼ì²éÒÇ¡¢ºì¹â¹â¶¯ÖÎÁÆÒÇ£¬²ÉÓô«Í³×é·½µÄ»ù´¡ÉÏ£¬Ó¦Óô´ÐµÄÖÎÁÆÊֶΣ¬Õë¶Ô²»Í¬»¼ÕßÖÆ¶¨¸öÐÔ»¯ÁÙ´²ÖÎÁÆ·½°¸£¬Ëõ¶ÌÖÎÁÆÊ±¼ä£¬²»ÁôÈκκóÒÅÖ¢¡£
ÎÂܰÌáʾ£ºËÄ´¨¾ü´óҽѧÑо¿Ëù¸½ÊôҽԺƤ·ôר¿Æ£¬Îª¹ã´ó´ø×´ðåÕîÅóÓÑÌṩרҵµÄ£¬Ò½Ê¦ÐÍ×Éѯ·þÎñ£¬ÄúÓÐʲô¹ØÓÚ´ø×´ðåÕî·½ÃæµÄ¼²²¡ÖªÊ¶Òª×ÉѯµÄ£¬ËæÊ±²¦´òÎÒԺҽʦ×ÉѯÈÈÏߣº028-86270996»ò×ÉѯÎÒԺҽʦQQ:770770028£¬¾ÍÄÜÓëÔÚÏß´ø×´ðåÕîҽʦÁã¾àÀë½»Á÷£¡·½±ã¡¢¿ì½Ý¡¢Ë½ÃÜ¡¢µÍ³É±¾¾Íҽ˲¼äʵÏÖ¡£
"ÖÐÎ÷Ò½ÉúÎïÅŶ¾ÁÆ·¨"ÖÎÁÆ´ø×´æßÕ¿µÔÚÏß×ÉѯÈë¿Ú![]()
ÉÏһƪ£º·ÀÖ¹´ø×´æßÕî ´ÓÔ¤·À×öÆð
ÏÂһƪ£ºÄÄЩÈËÒ×»»ÉÏ´ø×´æßÕî

µØÖ·£º³É¶¼ÊÐÇàÑòÇøÓñɳ·142ºÅ£¨Ì«Éý
ÄÏ·ÓëÓñɳ·½»²æ¿Ú£©
µç»°£º028-86270996

Copyright @ All right reserved. ËÄ´¨¾ü´óҽѧÑо¿Ëù¸½ÊôÒ½Ôº°æÈ¨ËùÓÐ
µç»°£º028-86270996 QQ:770770028
µØÖ·£º³É¶¼ÊÐÇàÑòÇøÓñɳ·142ºÅ£¨Ì«ÉýÄÏ·ÓëÓñɳ·½»»ã´¦£©
¹«½»Â·Ïߣº¿É³Ë 3·¡¢18·¡¢45·¡¢53·¡¢166·¡¢902·¹«½»³µµ½Ì«Éý·¿ÚÕ¾5·¡¢7·¡¢ 37·¡¢61·¡¢80·¡¢101A· ¡¢106·¹«½»³µµ½Óñɳ·վ¹«½»³µÕ¾