
来源:四川军大医学研究所附属医院 电话:028-86270996 点击免费在线咨询皮肤医师
牛皮癣的危害有哪些?牛皮癣作为一种难治性皮肤病,其产生的危害是毋庸置疑的。牛皮癣患者可能引发其他各种器官的疾病:营养不良,脱皮,关节炎,心力衰竭等。并发症对人体造成重大损害:继发性感染、水电解质紊乱等病症,脓疱型牛皮癣患者甚至可因肝、肾功能衰竭而死亡。
一些牛皮癣的患者认为牛皮癣只是一种影响美观的慢性皮肤病,并不会对身体造成很大的伤害,其实,这样的观点是错误的,我们一起来看下究竟牛皮癣的危害是有哪些有问题点击咨询医师。四川军大医学研究所附属医院院医师提醒:牛皮癣的危害是相当大,所以做好预防和护理是相当重要的。

【牛皮癣的危害】
1、皮肤大量脱屑 引起营养不良
皮屑的主要成分为蛋白质、维生素和叶酸等。若牛皮癣多年不愈或大面积扩散,牛皮癣患者会出现营养不良,并伴有乏力、面色苍白、倦怠等症状,严重的牛皮癣患者会出现低蛋白血症或营养不良性贫血。
2、牛皮癣反复发作,让患者身心交瘁。
牛皮癣反复发作的搔痒让患者难以忍受。有痒就想抓,越抓越痒,越痒越想抓,伴随着疼痛直到抓出血来。大多数的牛皮癣患者采用了不科学的治疗方法,使牛皮癣的症状更加严重。
3、引起肝、肾等脏器的损害
某些寻常型牛皮癣可突然转为泛发性脓疱型牛皮癣。此类牛皮癣患者可能会突然出现高热、关节肿痛、全身不适的症状,并导致白细胞增多,其皮肤上可迅速出现密集的小脓泡。这些小脓疱可连成大片,干涸后又发新的脓疱,反反复复且持续数月不退。泛发性脓疱型牛皮癣会可引起肝、肾等脏器的损害。
牛皮癣是一种顽固的皮肤病,对人体的危害很大,一旦发现自己患上牛皮癣,一定要及时治疗。市面上,我们经常能看到15天牛皮癣、秘方治疗牛皮癣等等一些小广告。这些方法真的能牛皮癣吗?对此,四川军大医学研究所附属医院医师指出,这些广告往往是在夸大宣传,治疗效果并不是很好,患者盲目相信,可能导致病情加重,加大负担。那么,牛皮癣怎么治疗好呢?
【疗法推荐】O—L净血祛癣生物疗法,牛皮癣治疗史上的新突破
“O-L净血祛癣生物疗法”是四川军大医学研究所附属医院依据“国际抗癣协会”和国家卫生部《牛皮癣治疗临床指南》,通过多名医师多年临床经验,研发的一项新型牛皮癣治疗技术。
自应用于临床研究和实践以来,受到各机构的关注,对牛皮癣治疗体系高度重视的国务院卫生部中国科学医学院、世界卫生组织(WHO)皮肤病研究医师委员会也一致推崇“O-L净血祛癣生物疗法”,并被国际牛皮癣研究协会被称为“世界牛皮癣治疗领域的奇葩”。
“O-L净血祛癣生物疗法”被称为“迄今为止的牛皮癣治疗方法”。在2013年召开的全国牛皮癣大型学术讨论会上,“O-L净血祛癣生物疗法”因科学独特,效果显著,被推荐为全国唯一推广技术,目前,该疗法已被列入《国家牛皮癣防治档案》,为我国诊治牛皮癣开辟了新的途径。
“O—L净血祛癣生物疗法”,治疗牛皮癣三大原理
“O—L净血祛癣生物疗法”通过三个步骤,步步深入,直接进入免疫细胞内部进行“根本”的治疗,阻断T细胞活化,遏制牛皮癣发病的关键环节,有着其他技术无可比拟的优势。
1、抑制牛皮“癣易感基因”活化。 “O—L净血祛癣生物疗法”由于内外致病因素通过体内体外的表面进入体循环,然后通过细胞外基质直接作用于易感基因,对易感基因进行刺激,激活易感基因,促使其表达,调整气血,疏通经络,扶正祛邪, 重新达到抑制和加强两大系统的动态平衡,维持正常的新陈代谢。
“O_L净血祛癣生物疗法“有效抑制易感基因的表达,稳定易活化的易感基因,能够在根源处起到阻断疾病发生的治疗作用;
2、促使机体免疫系统恢复正常。对于已经被激活的易感基因,活化后会产生T细胞,T细胞活化是牛皮癣发病的关键环节。
“O—L净血祛癣生物疗法“在此阶段主要抑制T细胞的病理性活化,并将已活化的T细胞消灭,稳定细胞膜,减少T细胞再次作用到下一环节,并激活受损细胞,消除超抗原对免疫系统的影响,促使机体免疫系统恢复正常,提高机体免疫力;
3、恢复皮肤正常代谢功能。机体的免疫系统恢复正常之后,T细胞有病理性活化变成保护性活化,从而有效的防止皮肤角质形成细胞的过度增殖,修复受损细胞,消除皮损鳞屑和瘙痒的症状,恢复皮肤正常的代谢功能。
同时在关键节点进行干预,最大限度利用机体自身的调控机制和能力,扶持和加强这种作用,避免长期大量用药和过度治疗对机体的伤害和不良影响。
>>>点击咨询医师,了解更多关于"O—L净血祛癣生物疗法" <<<
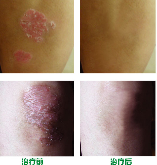
【康复案例】 四川军大终结八年治癣路 两月不复发
家住四川的周然,八年前,在一次下河洗澡回来后,突然发现身上起了一些小红点,而且很痒。去医院检查,结果是让他难以置信的牛皮癣!
这些年来,为了治好牛皮癣,他用过偏方,却将自己毒倒;去过诊所,病没治好,却被骗财……八年来他一直在希望与绝望,与复发中徘徊,就在他几乎绝望的时候,他在网上看到了四川军大医学研究所附属医院介绍的“O—L净血祛癣生物疗法”,经过认真查询发现“O—L净血祛癣生物疗法”治疗牛皮癣的效果不错,抱着一丝希望,他前往四川军大医学研究所附属医院诊治。

2010年5月,周然如约来到四川军大医学研究所附属医院,医师热情的接待了他,经医师确诊,他患的是红皮症型银屑病,全身大面积红斑、浮肿、发烧,已经非常严重。来院的第二天,周然开始接受“O—LJ净血祛癣生物疗法”的诊治,经过两个月的规范治疗,周然浮肿消退,不再发烧,身上皮损也消失了,多年的老皮癣也终于逐渐康复了。
【疗法对比】西药、中药、 "O—L净血祛癣生物疗法"对比
四川军大医学研究所附属医院皮肤病医师指出,目前治疗牛皮癣的方法主要是分为:中药、西药、物理疗法三种。
1、西药:西医主要的特点是见效快,但是轻易复发,停药即复发,不能去除病根。所以奉劝患者西药还是慎用比较好。
2、中药:中药以调理为主,所以治疗上较西药入,复发性较小,但是治疗缓慢,对于迫切想治疗的患者不太适合使用。
3、"O—L净血祛癣生物疗法疗法":物理疗法作为高科技的衍生品,它针对牛皮癣的"根本"进行治疗。"O—L净血祛癣生物疗法疗法"应用透皮给药系统使药物直接渗透病变皮肤,作用于异化细胞,精准、高效地将药物"送入"病变细胞组织里,药效直接渗透,治疗、护理双重举措,防止复发,治疗效果比传统给药方式更稳定、持久。对与牛皮癣患者来讲,是个首选的方法。是目前治疗牛皮癣最好的方法。
温馨提示:牛皮癣的危害很大,得了牛皮癣的朋友要注意护理,患者在平时要保持良好的精神状态,心气平和,减少忧思,注意劳逸结合,养成良好的生活习惯,避免恣情纵欲,加强体质锻炼。假如您还有其它的牛皮癣的问题想咨询的话,可以联系我们的在线咨询医师。
上一篇:没有了
下一篇:牛皮癣会影响生育吗

地址:成都市青羊区玉沙路142号(太升
南路与玉沙路交叉口)
电话:028-86270996