
来源:四川军大医学研究所附属医院 电话:028-86270996 点击免费在线咨询皮肤医师
很多牛皮癣患者都想知道,到底是什么原因导致自己患上这种顽疾?四川军大医学研究所附属医院医师表示,诱发牛皮癣的原因比较复杂,病因尚未明确。不过,经过多年的临床研究调查发现,该病的病因很可能与遗传、感染、代谢障碍、免疫功能障碍、内分泌失调有关。>>>看文字太累?可免费在线咨询医师<<<
牛皮癣的发病原因:

1、遗传:
根据临床所见,本病常有家族史,并有遗传倾向。国外曾报告有家族史者30%~50%,甚至有个别人强调达100%。双亲之一患牛皮癣,其后裔发病率较健康者子女高3倍之多,若双亲皆患牛皮癣,其后裔发病率更高。
2、感染:
有6%的牛皮癣患者有咽部感染史。我们发现很多儿童的牛皮癣与扁桃腺炎有密切关系。例如有一位母亲和她的三个孩子同时患急性扁桃腺炎,病情控制后,有三个人发生了牛皮癣。摘除扁桃腺后,皮疹可有明显好转或消退,说明感染是牛皮癣发病的一个重要因素。
3、代谢障碍:
在正常人的表皮内有四种酶,而在牛皮癣患者的皮损内则缺少其中二种,皮损后,其中两种酶又重新出现。已知牛皮癣的皮损内缺乏环磷腺甘(cAMP)这是一种表皮抑素可抑制表皮细胞分裂,保持细胞生长和消失之间的平衡。另一方面cAMP有激活磷酸化酶的作用,因而也影响糖原的代谢。
>>>牛皮癣最忌拖延不治或者胡乱治疗,赶紧预约医师,重获健康!<<<
【疗法推荐】O-L净血祛癣生物疗法,牛皮癣治疗史上的新突破
“O-L净血祛癣生物疗法”是四川军大医学研究所附属医院依据“国际抗癣协会”和国家卫生部《牛皮癣治疗临床指南》,通过多名医师多年临床经验,研发的一项新型牛皮癣治疗技术。
自应用于临床研究和实践以来,受到各机构的关注,对牛皮癣治疗体系高度重视的国务院卫生部中国科学医学院、世界卫生组织(WHO)皮肤病研究医师委员会也一致推崇“O-L净血祛癣生物疗法”,并被国际牛皮癣研究协会被称为“世界牛皮癣治疗领域的奇葩”。
“O-L净血祛癣生物疗法”被称为“迄今为止的牛皮癣治疗方法”。在2013年召开的全国牛皮癣大型学术讨论会上,“O-L净血祛癣生物疗法”因科学独特,效果显著,被推荐为全国唯一推广技术,目前,该疗法已被列入《国家牛皮癣防治档案》,为我国诊治牛皮癣开辟了新的途径。
>>> 牛皮癣最忌拖延不治或者胡乱治疗,若有疑问,可免费在线咨询医师
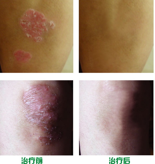
【康复案例】 四川军大终结八年治癣路 两月不复发
家住成都的周然,八年前,在一次下河洗澡回来后,突然发现身上起了一些小红点,而且很痒。去医院检查,结果是让他难以置信的牛皮癣!
这些年来,为了治好牛皮癣,他用过偏方,却将自己毒倒;去过诊所,病没治好,却被骗财……八年来他一直在希望与绝望,与复发中徘徊,就在他几乎绝望的时候,他在网上看到了四川军大医学研究所附属医院介绍的“O-L净血祛癣生物疗法”,经过认真查询发现“O-L净血祛癣生物疗法”治疗牛皮癣的效果不错,抱着一丝希望,他前往四川军大医学研究所附属医院诊治。

2010年5月,周然如约来到四川军大医学研究所附属医院,孙光选医师热情的接待了他,经孙光选医师确诊,他患的是红皮症型银屑病,全身大面积红斑、浮肿、发烧,已经非常严重。来院的第二天,周然开始接受“O-L净血祛癣生物疗法”的诊治,经过两个月的规范治疗,周然浮肿消退,不再发烧,身上皮损也消失了,多年的老皮癣也终于逐渐康复了。
【医师推荐】皮肤科医师 许艳妹

【医师简介】
许艳妹,医师医师,毕业于北京医科大学医疗系,从事皮肤病临床诊疗工作20余年,现为四川军大医学研究所附属医院皮肤科医师。 从医二十多年来,许艳妹医师曾先后在北京中医学院进修中医皮肤科、上海华肤医院、北京大学人民医院等进修皮肤科专业,前后参加国家援助非洲和支援边疆皮肤健康工程,曾担任西南地区皮肤学科医师委员,多次被评为突出贡献医师,荣获多项表彰和荣誉。
【擅长领域】
对常见病、多发病、疑难杂症的治疗有丰富的临床经验,尤其对牛皮癣、白癜风、慢性荨麻疹、特应性皮炎、手足甲癣等病的治疗有独特的疗效。 对牛皮癣与内脏器官的关联因素和过敏性疾病的皮疹异常表现等病因机制有独特见解,多年来,已成功多例罕见皮肤疑难杂症疾患。
温馨提示:以上是四川军大医学研究所附属医院医师介绍的患牛皮癣的主要原因,牛皮癣本身的治疗比较复杂,最好是选择专业科学的治疗,治疗的时候配合合理的护理,牛皮癣的逐渐康复近在眼前。如果你牛皮癣还有什么疑问,可以点击咨询在线医师。
上一篇:没有了
下一篇:头部患有牛皮癣的原因是什么

地址:成都市青羊区玉沙路142号(太升
南路与玉沙路交叉口)
电话:028-86270996